Skip to content

Clinical Case Studies
Zephyr® Valves

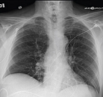
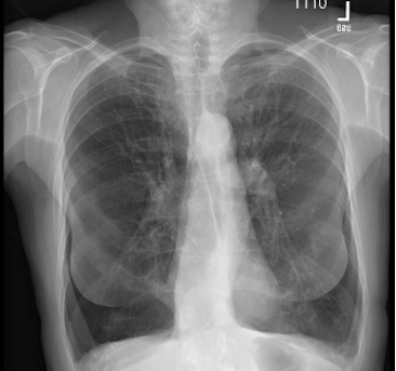
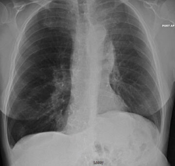
 Patient with homogenous emphysema and multiple comorbidities experiencing tremendous improvement in QoL

 76 y/o male with homogenous emphysema and multiple comorbidities came off oxygen after treatment (Result not typical)

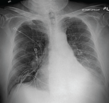
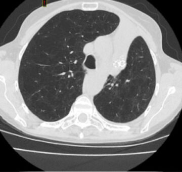
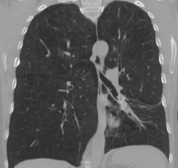
 Successful atelectasis of the right middle lobe with 80% fissure completeness score

Clinical Spotlights
If you have a Zephyr Valve patient you would like to submit for a spotlight please contact spotlight@pulmonx.com
US-EN-2235-v3